Über NPH

Allgemein

Normaldruckhydrocephalus – NPH vs. Demenz

Der Normaldruckhydrocephalus (engl.: Normal Pressure Hydrocephalus, kurz: NPH) ist eine Sonderform des Hydrocephalus. Diese Form entwickelt sich meist langsam im höheren Lebensalter, mehrheitlich ab dem 60. Lebensjahr, deshalb wird der NPH auch oft Altershirndruck genannt.

Die Symptome treten beim NPH typischerweise nicht plötzlich auf, sondern entwickeln sich langsam im Alter über einen längeren Zeitraum und werden deshalb auch oft dem Alter zugeschrieben.

In der Gruppe, der über 60-Jährigen leiden rund eine Million Menschen an Demenz, jährlich kommen ca. 250.000 hinzu. In vielen Publikationen wird davon ausgegangen, dass etwa jeder Zehnte Demenzkranke in Wirklichkeit einen unentdeckten NPH hat.

Fehldiagnose Parkinson oder Alzheimer

Besonders bei älteren Menschen werden die Symptome des NPH noch zu häufig mit Demenz verwechselt. Hinter der Vergesslichkeit wird oft eine Alzheimer Erkrankung vermutet und die Gangstörung wird oft als Parkinson verkannt.

Die Folgen sind fatal!

Zu spät erkannt, wird eine anfänglich gut therapierbare Krankheit zum unheilbaren Leiden. Mit der richtigen Therapie ist für NPH-Patienten ein normales Leben wieder möglich.

Filmvortrag

  • Prof. Dr. med. Uwe Kehler, Hamburg

    NPH Bekanntes und Neues

Pathophysiologie

Normale Hirnkammern

Bei der Pathophysiologie des Hydrocephalus sind längst noch nicht alle Mechanismen jeder Hydrocephalus-Form bekannt. Insbesondere beim Normaldruckhydrocephalus (kurz: NPH oder auch Altershydrocephalus genannt) ist die exakte Pathophysiologie weiterhin unklar.

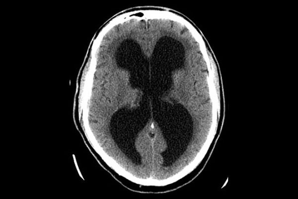
Erweiterte Hirnkammern mit zuviel Hirnwasser

Der Normaldruckhydrocephalus kann die Folge einer Hirnblutung, Meningitis oder eines Schädel-Hirn-Traumas sein. Er kann aber auch ab einem bestimmten Alter – zumeist 60+ – ohne eindeutig erkennbare Ursachen auftreten, also idiopathisch sein.

Es existieren nur Hypothesen, die von Fachärzten mehr oder weniger akzeptiert werden. Das Grundproblem des Normaldruckhydrocephalus ist ein schwankender Druck im Inneren des Schädels. Es handelt sich um eine Form des Hydrocephalus, bei dem der Hirndruck nur kurzzeitig, insbesondere nachts erhöht ist.

Auszug aus dem NPH Ratgeber

Beschreibung Dokument Link
Pathophysiologie des (Normaldruck-) Hydrocephalus Prof. Dr. med. Martin Schuhmann
pdf (364.2 KB)

Weitere Informationen

Beschreibung Dokument Link
Arbeitsgemeinschaft Spina Bifida und Hydrocephalus e. V. Bundesweite Selbsthilfe seit 1996
HC-Erfahrungsaustausch für Jugendliche und Erwachsene Gesprächskreise und Anmeldung
Leben mit Hydrocephalus von Caroline Hintzen Unsichtbare Behinderung – Fluch oder Segen?

Symptome

Nach Dauch WA, Zimmermann R Normal pressure hydrocephalus. [1]

Hakim-Trias

Gangunsicherheit

Für gewöhnlich zeigt sich zuerst eine Verschlechterung des Gangbildes:

  • Verkürzung der Schrittweite und Schritthöhe
  • Schulterbreite oder breitere Gangspur
  • Ausrichtung der Fußspitzen nach außen
  • Fünf oder mehr Schritte zur Bewältigung einer Drehung um die eigene Körperachse
  • Schwierigkeiten beim Stehen auf einem Bein
  • Schwierigkeiten beim Balancieren auf einer Linie

Inkontinenz

  • Beginnend mit imperativen Harndrang

Dementielle Erscheinungen

  • Konzentrationsstörungen
  • Anfangs Kurzzeitgedächtnisstörungen
  • Später Orientierungslosigkeit

 

[1] An evaluation 25 years following the initial description, Fortschr Neurol Psychiatr. 1990; 58:178–90.

Diagnostik

Die intensive Beleuchtung der klinischen Symptome beginnt bereits beim Hausarzt mit einer möglichst genauen Befragung des Patienten zu seinen Beschwerden. Hier wird der Grundstein für einen Verdacht auf einen NPH, die Entscheidung für weitere Diagnoseverfahren, aber schließlich auch für die Chancen auf eine erfolgreiche Behandlung mit einem Shuntsystem gelegt.

Die Diagnostik unterteilt sich neben der Erstellung eines genauen klinischen Bildes in folgende Verfahren:

Nicht-invasive Diagnostik

Normale Hirnkammern

Es gibt im Wesentlichen zwei bildgebende Verfahren, deren Ergebnis den Verdacht NPH verstärken können:

  • cMRT (kraniale Kernspintomographie)
  • cCT (kraniale Computertomographie)
Erweiterte Hirnkammern mit zuviel Hirnwasser

Invasive Diagnostik

Spinal Tap Test

Dieser Test simuliert die Implantation eines Shuntsystems, indem über einen Zugang zum Wirbelsäulenkanal ca. 50ml Hirnwasser abgelassen werden. Das verschafft bei vielen NPH-Patienten bereits eine spürbare Verbesserung der Symptome, z.B. die sichtbare Verbesserung des Gangbildes, Nachlassen von Kopfschmerzen. Diese Verbesserungen setzen einige Stunden nach der Hirnwasserentnahme ein und können mehrere Tage anhalten.

Zur folgerichtigen Diagnose durch den behandelnden Arzt ist aber vor allem auch die genaue Beobachtung des Patienten durch sich selbst und durch Angehörige von großer Bedeutung. Kleinste Symptomveränderungen können dem Arzt Hinweise zur Diagnose geben.

Lumbaldrainage

Bei einer Lumbaldrainage wird mittels einer Lumbalpunktion ein Katheter in den Wirbelsäulenkanal eingelegt, der über einen längeren Zeitraum kontinuierlich für eine Ableitung von Hirnwasser sorgt. Die Lumbaldrainage kann ein bis drei Tage angelegt sein. Diese Untersuchung kommt häufig erst dann zur Anwendung, wenn sowohl Spinal Tap Test als auch der Infusionstest keine eindeutigen Ergebnisse gebracht haben. Der Vorteil einer Lumbaldrainage im Vergleich zu den beiden anderen Verfahren liegt in der kontinuierlichen Entlastung von Hirnwasser. Dieser Test ist eine sehr viel deutlichere Simulation eines Shuntsystems und kann selbst bei schwierigen Fällen klare Ergebnisse liefern.

Infusionstest

Bei einem Infusionstest wird mittels einer Lumbalpunktion eine dem Hirnwasser ähnliche Flüssigkeit unter leichtem Druck durch eine Infusion in die Hirnwasserräume verabreicht. Dabei wird die Fähigkeit der Resorption gemessen.
Der Infusionstest lässt sich sehr gut mit dem Spinal Tap Test kombinieren, so dass für beide Untersuchungen nur eine Lumbalpunktion erfolgen muss.

     
Invasive Diagnoseverfahren sind meist unumgänglich zur einwandfreien Diagnose von NPH. Die Lumbalpunktion mit Liquorablasstest ist häufig schon ausreichend.

Filmvorträge

  • Dr. med. Konrad Luckner, Buchholz

    Differentialdiagnose

  • Prof. Dr. med. Uwe Kehler, Hamburg

    Bildgebung, liquordynamische Diagnostik und Behandlung

Auszug aus dem NPH Ratgeber

Beschreibung Dokument Link
Diagnostik des Normaldruckhydrocephalus Dr. med. Johannes Lemcke und Prof. Dr. med. Ullrich Meier
pdf (283.3 KB)